703-858-3838
lansdowneperio@gmail.com
Home
About Us
Services
Patients
COVID
Gallery
Contact Us
Home
About us
Services
Patients
COVID
Gallery
Contact Us
Gallery
Home
Gallery
Cases
These are cases that were performed by Dr. Iwamoto:
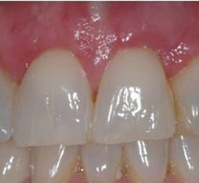
Gingival Grafting of Upper Left Canine
Before
Gingival Grafting of Upper Left Canine
After
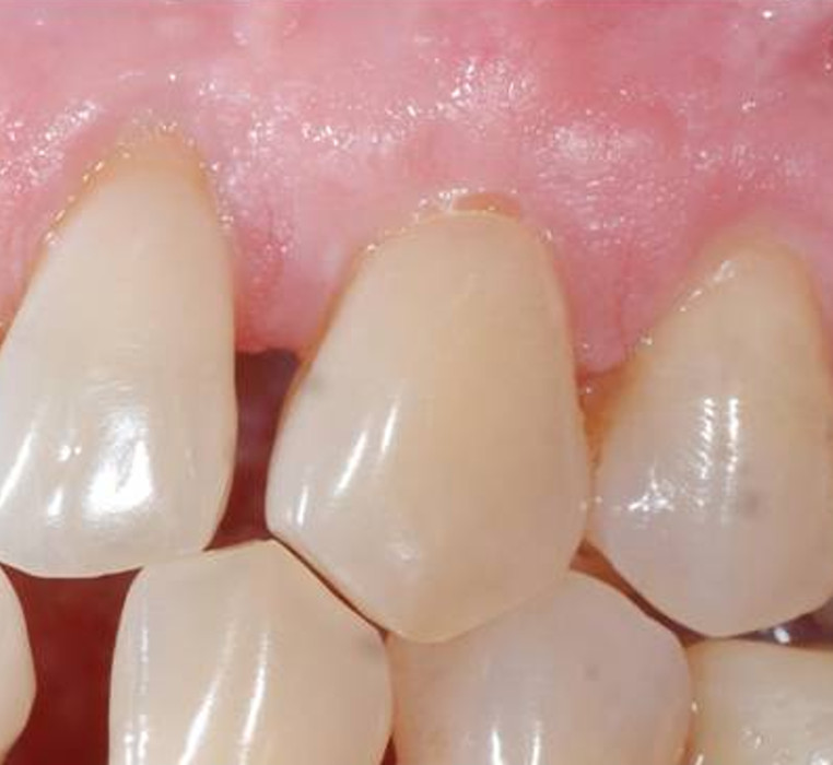
Gingival Grafting of Lower Right Lateral Incisor
Before
Gingival Grafting of Lower Right Lateral Incisor
After
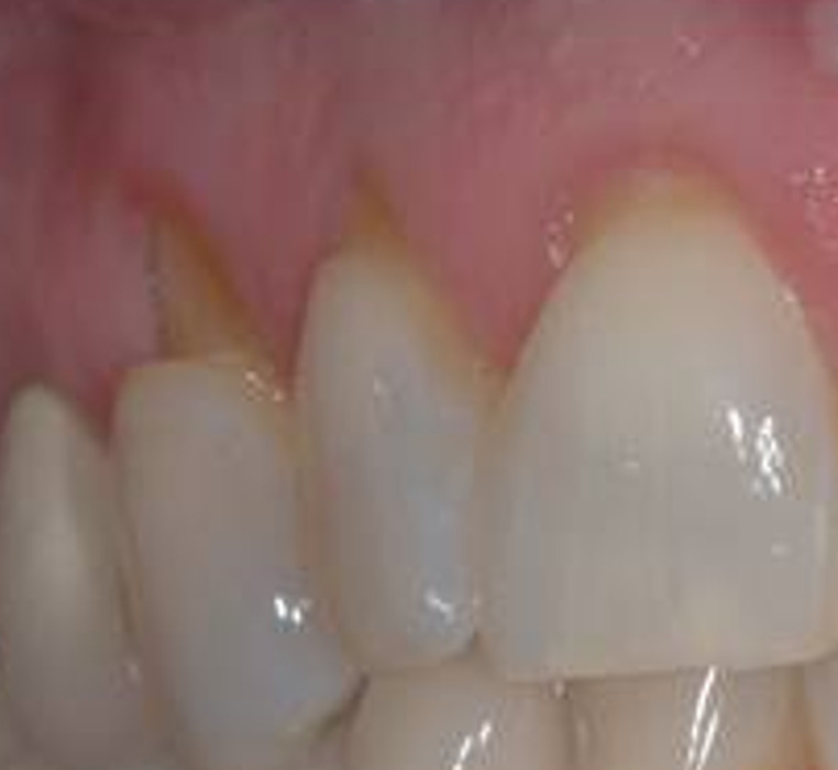
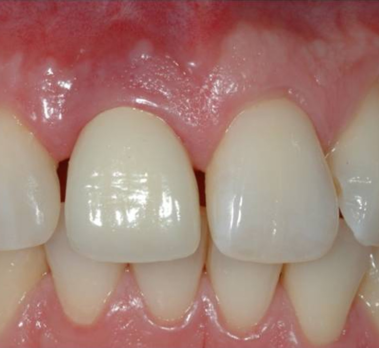
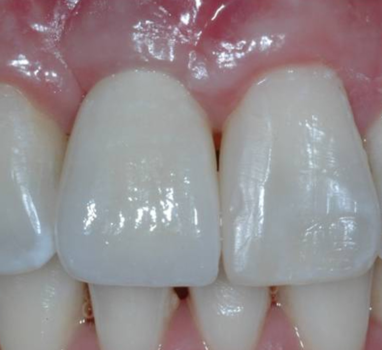
Gingival Grafting of all 6 upper anterior teeth for root coverage
Before
Gingival Grafting of all 6 upper anterior teeth for root coverage
After
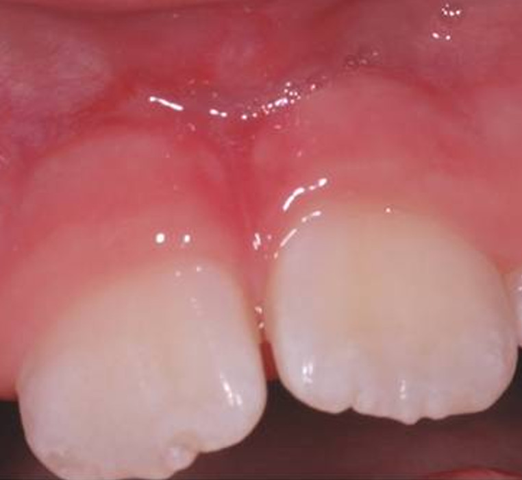
Frenectomy of Upper labial frenum
Before
Frenectomy of Upper labial frenum
After
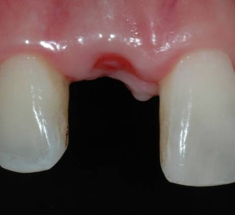
Extraction and Immediate Implant replacement of Upper Right Central Incisor
Before
Extraction and Immediate Implant replacement of Upper Right Central Incisor
After
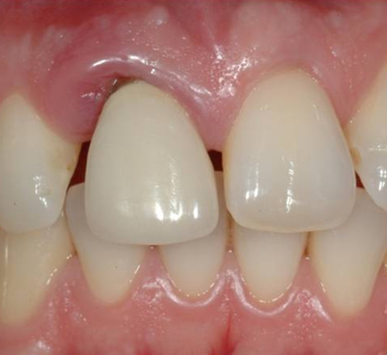
Replacement of Upper Right Central incisor lost by trauma with a dental implant
Before
Replacement of Upper Right Central incisor lost by trauma with a dental implant
After
1
2